Axis Medical Canada
West / Ouest: 1 888 855-6558 Ontario: 1 800 267-5597 East / Est: 1 877 388-1515
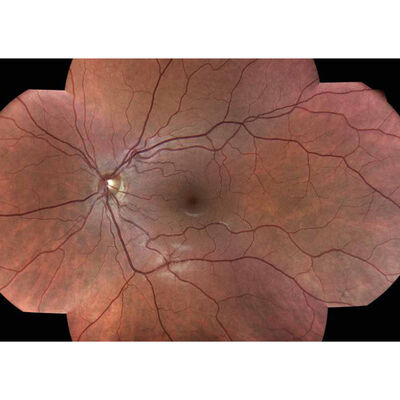
DRSplus confocal fundus imaging system by iCare uses white LED illumination to produce TrueColor and detail-rich images, setting a new effective and efficient standard of retinal imaging.
Confocal imaging is well known in ophthalmology as a standard of high image quality. The main characteristic of confocality is to reduce or suppress any scattered or reflected light outside the focal plane.
Thanks to this feature, DRSplus guarantees increased image sharpness, better optical resolution, and greater contrast when compared to traditional fundus camera imaging.
Moreover, the system uses a white light LED source, which includes the entire visible spectrum, to illuminate the retina and to capture TrueColor fundus images characterized by colors close to reality.

Physical distancing
Different Imaging Modalities
The iCare DRSplus, in addition to TrueColor images, provides Red-Free, Blue, and Red images of the retina. The system is able to capture external eye images and stereo view of ONH as well. Live IR supports during the image acquisition.
The minimum pupil size
DRSplus Confocal Technology permits imaging through pupils as small as 2.5 mm, speeding up the examination time while ensuring a comfortable patient experience.
Fast and Fully Automated Operations
Fast Fully Automated operation requires minimal staff training to acquire the highest quality images, speeding up the examination time.
Features:
Nonmydriatic Widefield Retinal Imaging With an Automatic White LED Confocal Imaging System Compared With Dilated Ophthalmoscopy in Screening for Diabetic Retinopathy

We are leaders in the industry providing you with the latest medical technology that helps grow your revenue and solidifies the relationship between you and your patients. We have four offices across Canada with local after-sales service and support for you. As well, we have an experienced, dedicated sales staff available to consult with you, ensuring all of your needs are met. We have developed relationships with suppliers from around the world to bring you reliable, high-quality ophthalmic technology, since 1980.
371 rue Deslauriers, suite 343
Saint-Laurent, QC
H4N 1W2
1 877-388-1515
111 Adam Street, Unit B
Belleville, Ontario
K8N 5K3
1 800 267-5597
#8 - 7541 Conway Avenue
Burnaby, BC
V5E 2P7
1 888 855-6558
Devices advertised may not have been licensed in accordance with Canadian law.